患者女性,96岁,因摔伤致右髋部疼痛畸形、无法行走,于9月2日入住重庆市九龙坡区中医院骨伤科一病区。经X线及CT检查,诊断为“右侧股骨颈骨折(头下型 Garden IV型)”,属于最严重的骨折类型。骨伤科一病区接诊团队迅速评估病情:若采取保守治疗,老人将面临长期卧床的困境,褥疮、肺炎、深静脉血栓等并发症随时可能危及生命。而手术则意味着要直面高龄患者心肺功能衰退、麻醉耐受性差、术后康复难度大等重重挑战。

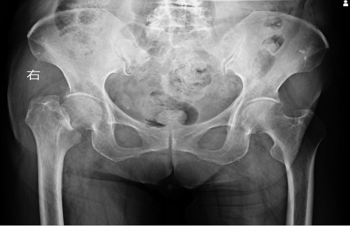
(术前X片)
多学科协作攻坚,为生命“放手一搏”
面对这一“生死抉择”,医院迅速启动多学科会诊(MDT)机制。骨伤科、麻醉科、脑病科、呼吸科等专家团队联合会诊,为老人制定个性化手术方案。术前,医护人员对老人心肺功能进行精细调理,麻醉团队精准设计麻醉方案,骨科手术团队反复模拟手术细节,力求将风险降至最低。9月8日,在充分准备下,骨伤科专家团队为患者实施“右侧人工股骨头置换术”。凭借娴熟的技术与默契的配合,手术仅用1小时顺利完成,术中出血仅100毫升,刷新了医院高龄骨折手术纪录。

(术后X片)
中西医结合促康复,术后次日奇迹迈步
术后科室充分发挥中西医结合特色,秉承“动静结合、筋骨并重”的理念,为患者制定了系统、科学的个性化康复方案。在西医规范康复训练的基础上,融入中医特色治疗,有效促进了气血运行,减轻了术后疼痛与肿胀,加快了功能恢复。在医护人员的精心指导和鼓励下,患者术后第二天即能扶助行器下床站立并缓慢行走,实现了早期快速康复目标。

(患者术后下床活动)
医术精诚获肯定,家属感恩赠锦旗
临出院之际,患者及家属特意赠送“妙手回春除伤痛,高龄换骨医术精”锦旗及感谢信,对我院医疗技术和服务质量给予高度认可。


攀技术高峰 佑百姓安康
此例超高龄手术的成功实施,充分体现了我院骨伤科在复杂骨折救治领域精湛的技术实力与多学科协作能力,标志着我院关节置换与围术期管理水平迈上了新台阶。科室始终坚持以患者为中心,充分发挥中西医结合快速康复理念优势,为患者提供个性化、系统化的诊疗服务。未来,团队将继续砥砺前行,不断优化服务流程,提升医疗质量与护理内涵,积极引进和开展新技术,努力为每一位患者提供更加安全、高效、有温度的医疗服务,为百姓骨骼健康保驾护航。
骨伤科一病区 曾静
